Evanratzan.com
 

Climbs

“It's always further than it looks. It's always taller than it looks. And it's always harder than it looks”

 
 
IceClimbSpray.jpg

Back to the Drawing Board: Learning to Lead Multipitch ICe

My 2015-2016 seasons of climbing were thwarted by a combination of PhD qualifying examinations and a severely herniated disc between C5-C6 vertebrae which paralyzed my right arm. In addition to being unable to lift even a Nalgene with my right arm, my thumb and forefingers were numb. There was also a pain from the back of my head all the way to my right hand that I can only describe as electric fire which would pulse frequently and prevent me from sleeping. The recovery has been harrowing and slow, but I am back at it and cranking hard again pushing my limits. I learned a lot from chronic pain and the process of restrengthening perhaps worth reading about if you have a minute.

 
HimalayanBridge.JPG

Climbing in the Himalayas: Overtraining,Bad Nutrition, and No Rest

In the winter of 2014-2015, I attempted to climb Imja Tse. By all accounts this is considered to be a easy/moderate and mostly non-technical peak in Nepal. However, my overly-eager efforts to ascend this mountain very quickly without assistance cost me dearly. To say the least, lessons were certainly learned along the way and my approach to big objectives in the mountains is not the same as it once was. If you care to read about the day by day, feel free to check out a photo journal of the exploits. I must add a very special thanks to my climbing partner Forrest, Nema, Mong, and Mani as well as the many friendly Nepalis that I met along the way. My heart goes out to them, especially after the devastating earthquake that shook the region shortly after my departure.

 
Railroad14er.JPG

Colorado 14ers-Ongoing Project

There are 53 official mountains in Colorado over 14,000ft. In 2014, facing severe injuries in my cervical intervertebral disc, I was unable to rock climb and I made it my goal to summit as many of them as possible. Over the course of 3 months, I was able to successfully climb to the summits of 26 of them. Unfortunately, weather can be quite fickle at that altitude and many of my planned days out resulted in sitting in a sopping wet tent listening to thunder overhead. My body also had limitations in squeezing multiple 14ers into successive days without resting. Typically 3 mountains in a row meant that I needed a rest day. By the end of the summer, I had made a lot of progress but I intend to return and bag the last half of those beautiful peaks.

 

Hard Lessons

“It's always further than it looks. It's always taller than it looks. And it's always harder than it looks”

 
 
Monkey’s eye view of Kathmandhu

Monkey’s eye view of Kathmandhu

Welcome to Nepal

In my mind, climbing Colorado 14ers was an excellent way to train for larger peaks in Nepal where I intended to climb to an even higher altitude. During 2014, I trained for this task involved me ascending an average of 6,000 vertical feet each week via trail running, winter hiking with a 60lb backpack, and occasional (but rare) rock climbing. This pace was unsustainable, and it became obvious when I became extremely ill, coughing thick sputum and not sleeping for two weeks prior to my departure to Nepal. I recovered to maybe 80% by the time my non-refundable plane tickets came around to being used.

Day One 12/20/2014: I boarded my first airplane at 11:59pm while it was 11:49am in Kathmandhu, and then spent a 4hr layover in New York City before leaving the US heading to Guangzhou, China for a 15 hour flight. I had stayed up until 7am and then slept until 1:30pm in hopes of resetting my circadian clock. Trying to kill time in the airport while I waited, I met a Malaysian juggler named Yung-yung. He was a Psychology student at University of Minnesota, and fellow rock climber. Since I taught myself extensive juggling in college, I was able to show him some tricks before it was time for me to catch a 6hr flight to Nepal’s capital city of Kathmandhu. I slept the whole way, and when I arrived I almost didn’t make it through customs because they thought my US passport was fake. Eventually, when I came through there was my climbing partner and brother from another mother: Forrest. He greeted me with a hug and took me to Alternative Nepal Kathmandhu Resort Hotel where we cracked a skunked local pilsner. After an excited chat, I tried to ease my overtrained and battered body into sleep on the 12hr inverted schedule on the opposite side of the earth.

Day Three 12/23/2014: With two days to organize in Kathmandhu, I never quite shook the cough I carried from Salt Lake City. A breakfast of faux-Mexican at the Jesse James Café was welcome since it was in the sun and we had a perpetual chill running through us from our shady room. Forrest’s friend Mani Aryal had run rivers with him in the past, and we were happy to have him as a local Nepali to introduce us to Nema. Nema was a short sinewy veteran-guide with numerous summits under his belt including multiple 8,000 meter peaks. Scouring maps and talking weather, logistics, and money we began to select which of our desired routes was best. Given our limited time frame and budget the best option seemed to be Imja Tse, also known as Island Peak. This 6,189 meter/20,305 foot behemoth was mostly a long hike, with limited technical terrain. Rumors that a large crevasse had formed beneath the final headwall to the summit meant a possibly complicated summit day, but otherwise it had been a very dry and warm winter.We spent two days pulling money from ATMs to pay for plane tickets, permits to climb, half of the guide agency’s fees, and books for the trek. Walking around Thamel was a constant game of lookout with motor bikes, cars, retrofitted tractors, people running, walking, and no traffic signals or crosswalks anywhere. The dust kicked up was enough that it was best to cover your mouth with something.

Day Six 12/25/2014:On the way to the Lukla airport, our guide poured petrol into a water bottle inside of our small taxi with minimal spillage. We sorted all of the shared gear into a massive 120L duffle bag. We were worried that we would exceed the weight limit and be denied a flight to Lukla. Other climbers had reported wearing all of their layers and double plastic boots for the flight in order to cut weight, to save an extra fee.

 
The furry remains of an animal blend in with the harsh rock and snow of the Himalayan alpine landscape.

The furry remains of an animal blend in with the harsh rock and snow of the Himalayan alpine landscape.

Straight Up

Day Seven 12/26/2014: The following day, I was starting to feel sickly. A little weak, sore throat, and a bit of a cough but normal resting heart rate. I woke up at 6:30 and was packed and eating breakfast by 7. Snow was on the ground, The slow climb above Namche involved about 3,000ft of elevation gain pushed me about 20min behind Nema and Forrest by the end of the day. I was moving at a decent pace but was definitely more winded and less strong than the rest of our group. I opted to take a rest day in order to recover. The nightly sessions of milk tea felt good on my sore throat but my body was not used to that much caffeine intake. Drinking four liters each day, mostly in the evening, combined with all the caffeine meant that I spent more time peeing than sleeping.

Day Eight 12/27/2014: I felt better in the morning and Nema recommends we are moving fast enough that we can take an extra day in one of the towns. Our original plan was to spend an extra night in Namche Bazaar, but we opted to continue to Mong since I felt stronger in the morning. The steep stone stairs along the trail were starting to wind me, I could hear my heart beating loudly inside of my ears. Right before we arrive at the tea house, I spot a Himalayan peacock and try to stalk it to snap some pictures but it stays high in the trees and out of my gaze. Arriving in the afternoon to Phortse, we evaluated whether the following day would be a long one to Dharbhingche or a shorter one to Pharbangche. By 3810m (12510ft), it was finally getting cold enough at night that fleece pants and a micropuffy were needed. The higher you go, the less insulation the tea houses seem to have, and the costlier the stays.

Day Nine 12/28/2014: Didn’t sleep much the night before, I was cold and restless which resulted in a mild headache and sore throat upon waking. Forrest and I discuss whether I may have acute mountain sickness, which seems unlikely. Having experienced AMS in the past, it feels more a like being plain old sick than altitude related mostly because I wasn’t nauseous and had no shortness of breath or dizziness. Feeling cautious, we opted for a rest day were we ate a lot of food and read books in the sun. I nap, eat, and drink throughout the day trying to beat a headache which persists until I take two ibuprofen and then it is gone immediately. I have to sleep upright due to post-nasal drip leaking into the back of my throat. I am also stuck constantly trying to pee when I should be sleeping.

Day Ten 12/29/2014: The rest day only helped so much, as Forrest and I both lie awake in our beds until there is enough sunlight to merit packing. I curse the avalanche probe, shovel, beacon, snow saw, and helmet that I an forcing into my pack knowing that we may not see any real snow until summit day. We head toward Dingboche via a steep rocky trail of stairs, so nothing new. I opted to give forrest my snow saw, helmet, and ascenders, all items which I regret carrying as I struggle up the steps while breathing too fast. I feel sick. Not altitude, more like the flu. Nema takes us too low, and we do the first bushwhacking of the entire trip to get 500ft up to the actual trail. “You are breathing too fast,” Nema remarks and instructs me to shed more weight. I ashamedly and reluctantly hand over the avy shovel and half of my layers to our porter. When we resume our long uphill trudge to Phangboche, I do feel better but I am still lagging behind. It takes 4hrs to get to Somare, I immediately opt for honey/lemon/ginger tea for my throat which is super raw. After eating, I opt to take acetazolamide (Diamox)  as a prophylactic against potential altitude effects. Forrest comments that he is also not sleeping and we both resolve not to drink anything after dinner. Our last bit of tea is at 4:15pm and at 14,500ft I am higher than I have ever been.

Day Eleven 12/30/2014: We trekked from Dingboche to Chukkung in about 4hrs and I felt good, not too whooped and not dragging behind. I had a healthy appetite and ate a large bowl of Sherpa Stew and ginger tea and was thoroughly hydrated with 4.5liters drank during the day plus tea at night. No headache, no nausea, sore throat is gone, but a mild dry cough persists, what Nema calls “Khumbu cough”. Chukkung is the highest poing so far, and still no snow in sight, it is all rock which is surprising from what I trained on in the Rocky Mountains. This temperate climate means that I could get away with at least 30lbs less gear. The higher teas houses rent crampons, ice axes, rope, tents, etc, meaning carrying them is unnecessary provided you arrive in the off-season like we did rather than coming when everyone wants to rent limited gear. Nema suggests that the gear is sketchy and in disrepair and it is better to bring your own. My down bag is -40 and my Parka is meant for Denali, too bulky and overkill for what we are doing. When I sleep that night, I am very tired and barely staying awake above my stew before heading to bed.

Day Twelve 12/31/2014: The trek to basecamp at 16,500ft is not too arduous. There are no steep parts, and the previous group had left tents for us at basecamp to avoid anyone having to carry them down and back up again. The last group did not summit Imja Tse. They encountered a crevasse that was wider than their 50m rope could span. Nema seems uphased and suggest that we can easily find another summit route to get around this ever widening crevasse from previous years. At basecampe, we stow our gear, hit the latrine, and scope out the route and the surrounding area. We sort through technical gear and split it between all of us for ascending and glacier crossing. Nema has no ice axe, so he takes my hybrid tool as the leader and I am happy to ditch the weight. Meals at basecamp are prepared by Nema and I force myself to eat canned tuna pasta casserole because I need the calories, but it is nauseating. I have never been able to stand the smell of canned fish. We prepare the tea for a 2am departure in the morning. I am still moving slowly and eating slowly, but I feel pretty good and am excited for the next day.

Forrest feeling the altitude and dismay after not summiting while bad weather rolls in from behind.

Forrest feeling the altitude and dismay after not summiting while bad weather rolls in from behind.

Dehydration and Summit Fever

Day Thirteen-Summit Day-01/01/2015 My recall of a lot of this is fuzzy at best…so here goes. Woke up at 1am and took a while to get ready. I eat and drink slower than everyone but still get my fill before the departure at 2:19am. Nema and Forrest shoot way ahead quickly and before long, Forrest waits for me and demands to take all of my excess weight (double plastic boots, harness, crampons). We aim to hit the snow field by dawn at 6am. Glove liners are not quite warm enough but I had left my down mits in the tent (stupid move). I am moving crazy slowly, and I am belching tuna burps from the night before. The taste is too much and I hunch over around 18,000ft and throw up a pile of black water, probably tinted dark by the chocolate bars I ate. My stomach definitely doesn’t agree with tuna and candy bars, something that would probably make me vomit at low altitude. However, it’s hard to find the type of food that I would normally eat here in Nepal so we opted for calorically dense candy bars. I have no headache or dizziness, but the taste of each belch is straight out of the depths of hell. Nema gives me a trekking pole, clearly worried about me potentially falling over but I am not feeling unstable at all. The rock scrambling is definitely exhausting. We reach the snow field later than intended due to my lagging behind. We gear up and follow Nema across the rock solid alpine ice, I regret carrying avalanche gear even more. Snow climbing is fun, but the weather is rapidly worsening. We had 12 days with only a single cloud in Namche Bazaar and now flurries are descending upon us and the wind is picking up. By 9:45am we reach 5,784m (18,976ft). As we all gaze at the 1,000ft head wall to approach the summit we see one very small dot of a climber ahead of us. We have been climbing for 7hrs and 20min and there is no way we can get to the summit before the storm becomes too much. A long journey, but definitely time to turn around.

We retreat below the snowfield and take off our crampons and other gear. On the descent, I throw up two more times, one after the other. I stare down in horror seeing that all of the water that should be pumping through my veins is instead on rock below me. Pieces of honey stinger waffle, snicker’s bars, and a bounty bar all sit within a black pile. Fearing that the horrible sounds were from a fall, Forrest and Nema pop back around the corner and demand that I hand over all of my weight. Forrest runs everything down to basecamp while I take hours to descend to the tent with a trekking pole in each hand. I rush to the outhouse with explosive diarrhea. I try to eat the dinner of spicy noodles and pound some tang, but my upset stomach is unhappy with the acidic mess of food.. I immediately worry that the snacks before basecamp were the first foods that I ate that were not cooked, or pre-packaged and begin to worry. I eat fried bread and porridge instead and try to take some antibiotics since it feels like I am contaminated with something. I also take some dexamethasone orally, and my next dose of Diamox. I put on my parka, expected the urge to diarrhea and vomiting to return soon. I don’t have to wait long. I puke into my two food bowls without spilling into the tent and precariously hand the nearly overflowing vessels to Forrest. The pills are likely floating in the mess within those bowls. Forrest says we have to descend, but I can’t move. I am completely exhausted, and more dehydrated than I have ever been from all of the vomiting and diarrhea. Happy New Year indeed.


 
 
Fluid inside of my lungs visible by X-Ray after my arrival in Norvic International Hospital.

Fluid inside of my lungs visible by X-Ray after my arrival in Norvic International Hospital.

Sick

Day Fourteen 01/02/15: I wake up with full blown wet, thick, sputum cough. Likely high altitude pulmonary edema (HAPE). I can hardly stomach any food. Mong and Forrest take almost all my weight, and I stumble to the latrine for more explosive diarrhea. The 4hr hike that took us to basecamp takes me 8hrs to descend shakily, walking like a toddler with two trekking poles across rock trail that is now coated in snow. I have to stop twice more with horrible diarrhea on the side of the trail. I try to drink and can only get 1.5L of hydration salts down. We reach Chukkung eventually and my cough is so bad that I don’t sleep at all. I can no longer walk or stand under my own power and my bathroom trips are poorly coordinated. I piss all over myself trying to operate the complexities of my own pants. I cannot eat because I am too tired, I fall asleep during the act.

Day Fifteen 01/03/2015: My level of responsiveness drops substantially to level two, I know where I am and who I am, but that is about it. I am no longer speaking coherently or able to answer questions. I have very little memory of this day, I spend most of this time slouched in bed wearing my full down parka and in a down sleeping bag trying to stay warm. Forrest periodically hands me something and tries to shake me awake to get me to drink it and take some meds. This persists for one or two days, I’m not really sure because I remember very little. Eventually, the tea house staff rallies to drag my weak frame outside and prop me on a lawn chair. I am loaded into a helicopter and flown to Kathmandhu. By this point, I feel like I am hammered drunk and reeling even sitting still in a chair. Halfway down Forrest and I sit on a helipad and wait to be transferred to another helicopter. I am feeling slightly better, but still so very weak. Eventually, I am loaded onto an ambulance and taken to a hospital for the works. CT scan, x-rays, IV fluids, antibiotics, and antivirals. My white blood cell count is over 20,000 and I am severely dehydrated.

Day 16-18: 01/04/2015-01/05/2015: Each morning two nurses greet me between 6:30-7:30 am and examine the IV going into my hand that is supposed to replenish my fluids. “How many times did you make the urine?” I shake my head, and reply “none”. An exchange of surprise looks is followed by a painful flicking and attempt to adjust the less than ideal placement of my IV. During the days, forests large six foot frame is uncomfortably crunched on a guest couch in my room as he attempts to Skype my health insurance while I drift in and out of wakefulness. The steady flow of oxygen and bizarre array of American B movies is enough to numb my mind back into sleep. Eventually, Forrest’s Mom Debbie comes by the hospital from her nearby work with the AACC in the area and visits. She is pretty quickly alarmed by the massive swelling in my IV hand which is clearly infected and encourages a new placement by the nurses. After two days without fluids, I am finally hydrating. My first micturition smells horrible and has maple syrup like coloration/consistency, but it seems to satisfy the the nurses nonetheless. How many times did I make the urine? One. The doctors agree to release me at the end of the third day with a pile of antibiotic pills to take as well as some cream for my ballooning infected hand.

I spend the remainder of my trip either sleeping, eating, or walking short distances. There are many takeaways from this trip which are great lessons albeit hard ones to learn first hand. First of all, I am very grateful to have such amazing friends and family to care for me in a time where I was incapable of doing so. Forrest and Debbie made my experience a lot more bearable. Secondly, I am very much ashamed of my ego clouding my judgement in a way that potentially endangers myself and others. From the start, I was determined not to be another white tourist taking advantage of underpaid native guide/porter services. Realistically, Nema and Mong are stronger and more fit than myself, and my reluctance to let them do the job that they are paid for is disrespectful in its own way by not recognizing how things are done in Nepal. I avoided being carried to the top of some mountain in the Everest circuit, in part because of what a terrible stain it has become on broader implications for alpinism and mountaineering. This logic is what caused me to overtrain prior to my arrival, fail to take time to acclimate appropriately, and over-assess my ability to ascend rapidly. It was not entirely pride that caused me to deny the obvious signs of my upper respiratory tract infection prior to HAPE onset. The other factor was the large amount of money, time, and closing weather window that made bailing on the climb undesirable. The results were humbling. I have intentionally avoided high altitude ascents since that time in favor of more technical vertical climbing, who knows if I will return to Nepal anytime soon. If I decide to climb something tall again, I will definitely acclimate properly and will likely not shoot for much taller than 16,000-17,000ft since I know how my body responds to said altitude.

 

Pain in the Neck

“Pain is inevitable. Suffering is optional”-Haruki Murakami

 
 
Clearing of the lungs following a healthy dose of oxygen via nasal canula and change in pressure upon returning to the relatively low altitude of Salt Lake City.

Clearing of the lungs following a healthy dose of oxygen via nasal canula and change in pressure upon returning to the relatively low altitude of Salt Lake City.

Welcome Home

Upon returning to the US from a Nepali hospital, my need for physical recovery dovetailed nicely with a need to buckle down for the most difficult portion of my PhD studies: the qualifying exam. The, qualifying exam takes place prior to completion of the second year of graduate school. It determines if you get to continue to pursue your doctoral degree or take a hike (in my case probably literally). First you select a committee of professors with expertise in your field (mine is neuroscience) and you must present a formal research proposal unrelated to your area of study. Initially, this means a written 8-page national research service award (NRSA) style grant submitted to to the committee for review. Following the receipt of this document, the committee proceeds to prod and poke at any logical misstep or incomplete understanding you have on the material. At the committee meeting, they then expose your weaknesses or failures in understanding via a cross between Socratic method of cross-examination during your presentation.

I have heard this process likened to sharks sniffing for blood in the water prior to a feeding frenzy. A close friend of mine put it well when he said, “it’s not a test for intelligence, it’s a punishment for arrogance”. The worst thing you can do is push forward arguing your grant proposal when caught in a logical misstep, you need to admit when you don’t know something. Even if you write a perfect proposal, your committee will find something dig into that point for 1-3 hours until you tap out. There is no score or grade, instead there is a vote of either pass, fail, or conditional pass. Conditional passes often involve a revision of the written material or possibly an additional course to fill in lapses in knowledge, and a fail means you should leave the program.

Knowing this, many students opt to stack their committees with friendly or easygoing professors or clinicians who they know will not give them a hard of a time, so that they may progress unfettered into the dissertation research phase. That is not my style, I opted to challenge myself. I selected a committee that I knew would scrutinize me heavily. If was to obtain a PhD, I wanted to earn it in the eyes of scientists who were highly skeptical and discerning and who I have great respect for. Looking back, this seems unnecessary but perhaps my recent failures in Nepal left me wanting yet again to prove myself in some medium that I was not an impostor and another harrowing rite of passage would prove that I belonged.

 
Using belaggles to read papers orthogonally during my qualifying exam prep due to the inability to move my head up and down due to severe nerve pain.

Using belaggles to read papers orthogonally during my qualifying exam prep due to the inability to move my head up and down due to severe nerve pain.

Study Up

Prior to my exam, I became aware that I had herniated discs in my cervical vertebrae compressing nerves that ran down my neck. It felt like there was a golf ball sized knot that would appear in my right shoulder and generate tension and pain strong enough that I could not turn my head to the right. Nor could I walk, run, or at times sleep. I first experienced this awful monstrous knot of tension running from the back of my skull down my trapezius muscles when I was 18 or 19. Not knowing at the time how severe the issue was, I opted for every possible naturopathic intervention strategy. Chiropractic treatments combined with cupping, acupuncture, Rolfing, deep tissue massage, daily Yoga, inversion tables, sauna, ice, and pressure guided cervical traction would keep the pain reduced but didn’t stop the flare ups. As the pain increased, I opted for steroid hormone injections in the disc which didn’t do anything. Eventually, I reached a state where I adopted chronic pain as my baseline and tried to push through it. By the time I had gone to Nepal to climb big mountains, I was in the eye of the storm with minimal pain, but also without having resolved the issue at all. Even by the end of the trip and after my return to the US, I was not inhibited by the pain as I had become accustomed to the goblin living between my neck, ribs, and scapula.

Prognosis

My 2-3-hour exam began first with me being sent immediately into the hallway to wait alone. I felt like wearing an invisible dunce cap as I awkwardly stood in the hall in dress clothes. Other students and postdocs walked past exchanging knowing looks and offering good luck wishes. The 5 professors on my committee began to talk about me and my previously submitted proposal for 20min or so. Mostly, I just closed my eyes and compulsively rolled my shoulders down back while tucking my chin to mitigate the pain. I hoped that the muscle relaxers would kick in by the time I had to stand up in front of the committee and present.

When I was beckoned back into the room, I began to present but was interrupted every few minutes with intellectual jabs. I tried to parry the best I could, and answer questions where I knew the answers but after an hour or so things were taking a downward turn. It was clear that I had limited knowledge in the molecular biology, and real-world limitations of the methods that I had written about in my proposal were something I did not fully understand. These experimental details are not written in textbooks. They are things you learn from experience or methods-based journals. I had limited experience with molecular biology only had completed a few techniques having recently joined the lab and the committee knew it. Unfortunately, the rules of the exam at the time stated that the proposal had to be “off-topic”. This means it cannot be related to what you do in the lab, and I had gotten deep into territory which I was only familiar with from what I had read. I tried to gesture to the slides, but I could not lift my arm fully. I am not sure if the strange looks I was getting from the committee indicated that they noticed I was acting strangely, or if it was because of my sub-par performance as a PhD student.

Eventually, I was asked to leave the room again while they continued to talk about me behind my back.  By close to three hours, one committee member had to leave and left the other 4 in the room to discuss further. On his way out, he gave me a conciliatory shrug, “it’s not over yet, good luck” and headed off. When I was called back into the room, the verdict was worse than I expected. I received a conditional pass, on the condition that I rewrite and present again in 3 weeks. It took more than I thought I had in me to make the original proposal and that was before the pain. I trudged back to the lab and stared into space before I went home. I could not celebrate because I did not pass, and I could not sleep because the pain did not pass either. I wanted to curl up and die and instead I lied down flat on the basement floor and writhed in pain.

The verdict from the surgeon was no relief either. He told me the nerve damage may be permanent if untreated for too long. He also said mine had gone on for too long and recommended that I immediately get a discectomy followed by either a spinal fusion or an artificial disc replacement. So in addition to needing surgery, I also needed to take my qualifying exam again. It was around this time that word of mouth trickled in about the other members of my cohort passing their exams without any issues, or in some cases with a few rewrites to small portions of their proposals. If nerve pain was an ice cream sundae, then the shame of failure was a cherry on top. The surgeon pushed my date as early as he could, which was right after my rescheduled exam. At least if I failed out of my PhD at the University, I would have my surgery on the company dime before they kicked me out and I lost health insurance.

“If the situation is hopeless, then you’ve got nothing to worry about”. I pushed on through with what had to be done. Having rewritten the entire proposal to be much more like what I did daily in the lab, I passed my exam with the second meeting going smoothly. Many grad students celebrate their advancing to PhD candidacy with drinks, fancy dinner, or a camping trip. I celebrated my exam with plans for spine surgery.


 

Pain in the Neck

“Pain is inevitable. Suffering is optional”-Haruki Murakami

 
 
First time without nerve pain in nearly a decade, thanks Dr. Spiker!

First time without nerve pain in nearly a decade, thanks Dr. Spiker!

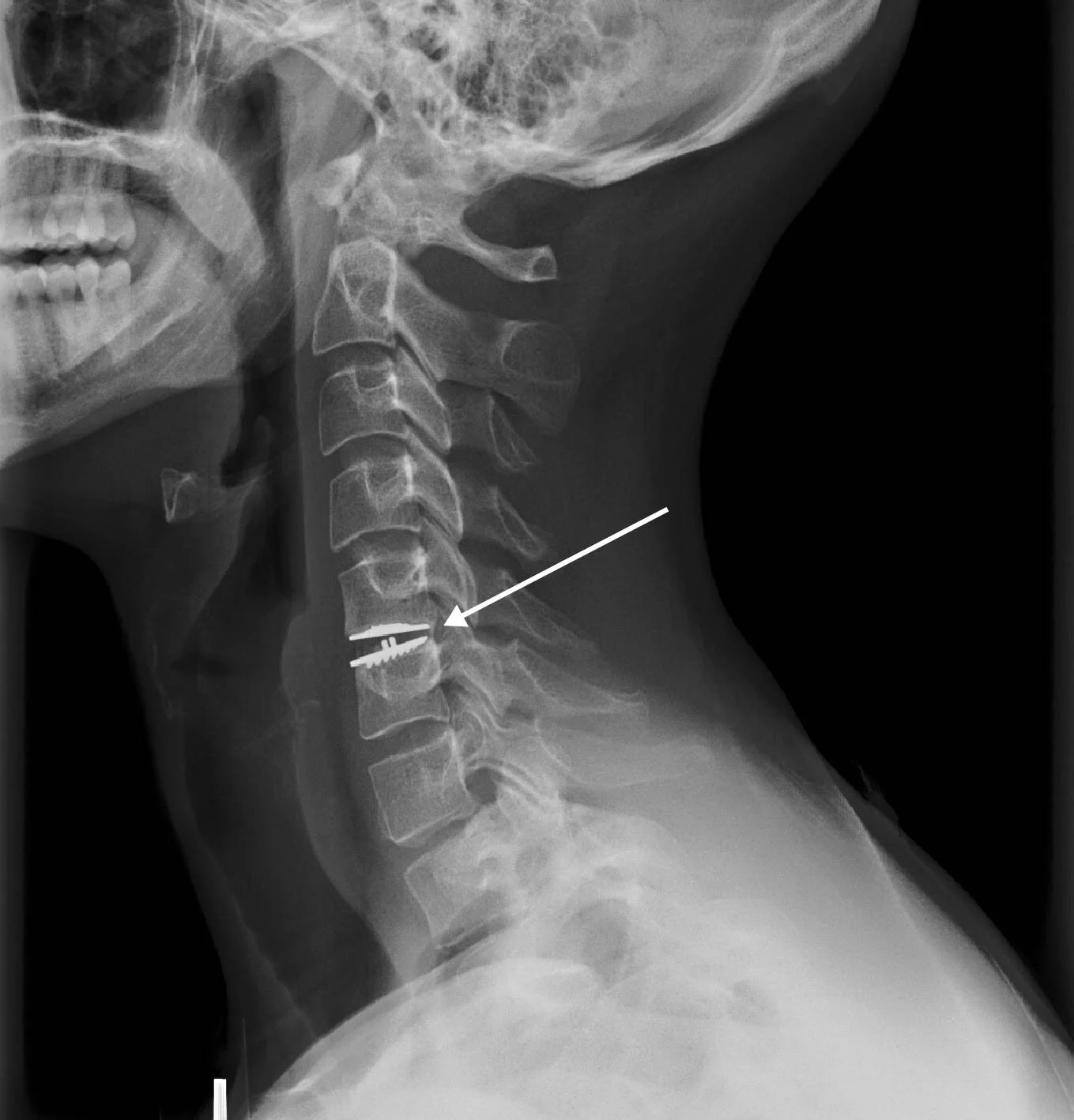
Spine Surgery

In an artificial disc replacement surgery at C5-C6, the doctor makes an incision in the front of your neck skin. The surgeon then pulls your neck muscles to the side and moves your esophagus out of the way to get access the ventral aspect of your spine. Once the spine is exposed, a mechanism that acts like a carjack holds the two vertebrae apart from one another while he cuts the disc from the bone and vacuums it away being careful not to damage the spinal cord. Using a bone saw, he then cuts grooves or drills guide holes into the vertebra in order to anchor the replacement disc. Using a hammer, he then pounds the metal replacement disc into place and verifies the position by x-ray. He then sews up the incision site you up and leaves you in a bed in a groggy state to recover. The whole procedure takes about 2-3hrs, pretty similar to my qualifying exam in that way. The qualifying exam was only the start of the massive undertaking of the PhD and the surgery was only the beginning of a long road of work to recovering the use of my arm.

By the time I had the surgery, I could not lift my arm above my head. My thumb and forefingers of my right hand were completely numb and I suspected permanent nerve damage. Having just studied the neural pathways for spinal nerve reflexes during the first year of my Neuroscience PhD, I knew this was really bad. Peripheral neurons do not regenerate in mammals the way they do in salamanders, axlotls, or zebrafish. This fact was reinforced when I thought about my uncle Kevin, who for as long as I remember, had remained a wheelchair bound quadriplegic due to severe damage to his cervical vertebrae when he was young. The longer the signal from the brain to the arm and hand is obstructed, the higher the potential for long term damage.

Waking up from surgery, I finally realized how bad the pain had been. I had gotten used to suffering through the day for so long that it became the normal baseline for me. Waking up to that sort of relief was surreal, was this what everyone else felt like normally?! In the subsequent two days, I could not believe how long I had lived with that sensation. If this was the new normal, I must have been in rather severe pain even when the condition first began. The prescribed painkillers for post-op were hardly necessary, I already noticeably better. For six weeks after the operation, I could not turn my head to the side or look up or down which was not much different than normal. I wore a soft neck brace, and was prohibited from lifting more than 20lbs, which meant that I needed help getting groceries, cooking food, taking out the trash, and I had to sleep propped upright for a while. By three months, when I finally was cleared for physical therapy, it became clear that my entire serratus anterior muscle at my right flank was paralyzed. The uppercut motion with my right arm caused my shoulder to roll completely off of my ribs and wing outward, creating a clicking sensation reverberating in my armpit.

Repeating my qualifying exam went much better than the first attempt. I passed after heavily revising the documents and presenting an alternative strategy. My committee seemed pleased with my performance but I was just glad to have a literal and figurative weight lifted from my shoulders. I was overdue for a rendezvous with a very close friend who was getting married in Canada where I drank congratulatory scotch through a straw because I couldn’t tip my head back.

 
The steep and beautiful approach of Led By Sheep (5.7 YDS) in Zion National Park with Katt in the center.

The steep and beautiful approach of Led By Sheep (5.7 YDS) in Zion National Park with Katt in the center.

Getting Back on That horse

I used to do 100 pull ups in 20-30 minutes before the disc failed. Afterward, I could do a grand total of 0. I was working to lead 5.12a (YDS) rock climbs prior to the degeneration of my spine, and afterward could not lift my right arm up above chest level. After 3 months, I was cleared for physical therapy. I still could not lift my arm straight in the air with my own strength. With training, I eventually could raise my arm upward, but could not straighten it fully. The last bit of the motion, getting my shoulder to touch my ear, felt like I was trying to lift an elephant overhead. My physical therapist wanted me to use a resistance band, but it was too much. I had to resort to pushing my arms up the wall while leaning into it as an assist to finish the motion. Every morning and evening turned into 30-60min of physical therapy with no noticeable progress from November 2015 to February 2016.

I was dying to climb outside again but still lacked full range of motion, a great deal of strength, and control over much of my right flank. I started getting treated by Carrie Cooper whose expertise in both physical therapy and rock climbing was encouraging. I still couldn’t climb properly because I lacked full extension with my arm and I had atrophied substantially. By Fall 2016, I was antsy and wanted to get on real rock but knew my own limitations. I chose an easy multipitch 5.7 in Zion called “Led by Sheep”. It was 5 pitches of smearing slab, all feet with occasional mantles. For non-climbers, going up slab meant that I could potentially avoid raising my arm above my head (which I couldn’t do anyway). It was a long drive, but in the event that I could not climb, at least there were some classic hikes that I could do with the lovely Katt. I was able to slowly work my way between the widely spaced bolts holding most of my weight on my calves and pushing into my palms at chest level or below with my fingers pointed downward. At the summit of this sandstone tower, I was very encouraged. Even if my right arm didn’t work, it meant that climbing was still possible for me in the future. I rappelled down with Katt as darkness set in. Out of the game for a year, I had forgotten a key element of extra layers. The cold November wind whipped hard through the desert canyons and we shivered violently while I struggled to pull the ropes down from the anchor of the first pitch. I couldn’t pull the dual ropes with my useless arm and Katt stared as I cursed and thrashed trying to get the rope down. After a brief meltdown, I was able to free them and hike out without a headlamp grinning the whole way. There was hope that I could climb again.

Cyborg (noun), definition: An organism, often a human, that has certain physiological processes  enhanced or controlled by mechanical or electronic devices, especially  when they are integrated with the nervous system

Cyborg (noun), definition: An organism, often a human, that has certain physiological processes enhanced or controlled by mechanical or electronic devices, especially when they are integrated with the nervous system

Prolonged Weakness

Climbing season had ended with the arrival of snow and drop in temperature. For the next four months, I went hard after PT and strength training. I talked with multiple physical trainers, performance athletes, and therapists to learn a variety of tortuous exercises targeting my paralyzed side. I struggled to get my serratus anterior muscle to engage when I raised my arm. Bit by bit, I was able to raise my right arm straight up in the air. My grip strength had weakened a great deal, and my left hand became my strong hand. To this day, the last half an inch at full extension of my right arm gives me slight resistance, which detracts from my already poor -2 ape index to make long reaches with my right arm a challenge. I could eventually do pull-ups with counterweights to remove 40lbs from my body weight. By the time winter came to a close and the warmth of spring dried the rock, I was ready to get outside again and so I opted to lead a Wasatch classic known as Mexican Crack. Perhaps not the best lead to jump back on as many consider it to be sandbagged and it requires a fair amount of strength that cannot be substituted for technique the way Led by Sheep could. I was able to work my way up through the two cruxes without falling, but I was absolutely wiped by the end. The road to to recovery is a long one, but each challenge leaves me more inspired than deterred. However, I would be lying if I said I wasn’t a little heartbroken by my complete lack of stamina following over a year of PT and strength training combined.

If I learned anything from the experience of completing a qualifying exam with a herniated disc, it is that I can put up with a whole lot more suffering than is wholly necessary. Toughing it out is definitely a macho bravado mentality amongst many males, and in the end it almost cost me the use of my arm. I am much more cautious than I used to be in terms of trusting my own judgement of my personal resilience. Paradoxically, it is nice to know that I can push through the pain if deemed necessary. However, I am very lucky to not have to make the choice daily like so many other people do. I also am amazed by the resilience, optimism, and success of people like my Uncle Kevin who are not deterred by the continuous setbacks associated with spinal cord injury. Kevin and others like him are an inspiration to us all, and a good reminder for to work harder and play safer. You can read Kevin’s story here.


Regaining strength by leading easy sport climbs just outside St. George, UT.

 

Learning Ice

“The ice hammer itself is a key to the world of legends that I’ve dreamed of in my fading boyhood"-Steve House

 
 

I climbed ice for multiple seasons via top rope in order to get large volume of practice before I ever considered hopping on the sharp end and leading ice. Here I follow an enthusiastic leader up “Back Off” (WI4)-Santaquin Canyon, UT. About 2 weeks later, climbers were knocked off the lower pitches of Squash head due to an avalanche.

The Dead Arm

By Fall of 2016 I was wearing a neck brace unable to turn my head to the side or look up or down. The surgeon said wasn’t allowed to lift more than 20lbs and shouldn’t take larger steps than a stair or the curb. I spent the first week post-surgery, lying propped on a pillow to avoid the strain of trying to sit up from a bed. I couldn’t swallow without extreme pain in my throat, which made eating solid food very unpleasant. If my girlfriend and my Mom hadn’t come to help me get groceries and cook/clean up after myself, I would have had a much harder time. I felt like a worthless slug, just lying around staring at a computer screen watching movies until I passed out multiple time during the day. My aspirations of climbing the steepest mountains seemed impossible at this point.

Part of pushing one’s limits involves reviewing and recalibrating your assessment of risk after experiencing success or failure. It is particularly important when you have a close call to debrief and re-assess your abilities afterward. I assumed I knew where the edge of my abilities was, but my near-miss on Island Peak had made me seriously question the ability to safely and objectively self-evaluate. Apparently, I had crossed the line and it put me closer to death than I cared for. Going back to the drawing board meant that I would need to re-assess the risk of climbing. An enticing alternative to my failed attempt in Nepal was to improve my technical skill and physical strength for more vertical continuous multipitch climbing. Specifically, I had dabbled in ice climbing but had was too cautious to lead climb on ice. Tackling more technically demanding objectives at more forgiving altitudes seemed safer than the near-miss I had in the Himalayas. If I was going to bask in the leisure of oxygen-dense air below 3000 meters then by golly I better be breathing hard because I was climbing steeper terrain.

I was counting down the days until I was allowed to lift my arms above my head and I was growing tired of having everyone carry objects for me. It was a long six weeks and by the time I was cleared to begin physical therapy, I was chomping at the bit. When I went in for an assessment, it was obvious that my serratus anterior muscle was nearly non-functional. It stabilizes the scapula as you lift the arm in an upper cut motion, but in my case, my scapula rotated off of my ribs and stuck out like a chicken wing. Whenever I attempted to lift my arm upward, I would it an invisible ceiling that prevented me from getting my elbow up to face level. It was extremely frustrating. How does one do a pull up or hold an ice axe without being able to lift your dominant hand above your one’s own head?

I did physical therapy every single day for nearly 6 months and it always hurt, but it could never hurt like the nerve pain did. When I first began to boulder in the gym, I struggled to reach far away holds with my right arm, and I was terrified of dropping to the mat with any sort of impact on my freshly repaired spine. Dynamometer readings of grip strength put my right arm at about 20-30lbs weaker than my left. My formerly dominant hand was now my weak arm. I had help from athletes who understood PT well and worked with me to regain functional strength. I did strength training 3 days each week with weights, climbing, and hangboarding mixed in. My arm was getting stronger, but after a year I still couldn’t fully straighten it above my head. The last 2 inches were excruciatingly difficult to achieve and frustrated me to no end. I still couldn’t do a single pull-up.

At this point, I was very worried that my climbing days would be over, or at the very least severely limited. However, I am not typically one to let ambitions die off. My frustrations typically manifest in a form of self-punishment. Strength training became a top priority and each failed attempt to raise my arm meant that I just needed to work harder and so I upped my strength training to five days per week. Having learned from my overtraining debacle in Nepal, I mixed in yoga, saunas, stretching, and varied exercise like biking into the mix. Slowly but surely I reached a point where I could do 1-2 pullups. This was enough of a taste of victory for me to dedicate the extra time for training and rehabilitation.

 
Following yet another pitch of WI4 trying to get a variety of different features and positions to refine my technique.

Following yet another pitch of WI4 trying to get a variety of different features and positions to refine my technique.

An ICE, ICe, Baby

By winter of 2017, I was strong enough to climb again but had missed much of the ideal fall season. The danger of high altitude was still fresh in my mind, and so I turned my sights toward ice climbing. I had previously ice climbed in Rocky Mountain National Park and did the same in Provo Canyon by walking to the top of ice falls and setting up top roping anchors and running laps. My only experience leading was on “alpine ice” which was really hardpacked snow and dirt in gullies and couloirs that tended to be fairly low angle terrain to ascend. I had my eyes on vertical water ice, and I wanted to lead climb it but in 2017, global warming combined with seasonally bizarre temperatures meant hardly any ice forming in the Wasatch.

Ice is fickle and difficult to read, even more so than rock and tends to break more easily as well. If it is too cold, the ice gets brittle and the top layer will slide off like broken dinner plates, potentially smashing you in the face. If it is too warm, it melts into a slushy consistency where your ice tools will shred downward leaving claw mark trails like a cat down a curtain. There is a sweet spot in temperatures somewhere between 20-30F where a well-placed swing will stick the pick of your ice tool so firmly that a harmonic wobble will vibrate through the handle of your tool. These well-placed swings are so satisfying that you aim to perfect the whipping of the wrist and the follow through of the tool to it’s final contact. Otherwise, poor swings will bounce off the ice with a twist as the tool flips 90 degrees orthogonally to the ice requiring you to pull back and swing again. The more swings it takes to get the tool to stick, the more tired you become.

Even more challenging and essential was the footwork. Most rock climbers spend a lifetime perfecting foot placement on the rock in order to reduce the load on their fingers and arms. On lower angle slab climbs with tiny features, you are forced to push your heal down and “smear” the ball of your foot across small or non-existent features. On overhanging terrain you often point the very tips of your toes onto tiny crystals or other protuberances. In vertical cracks, you must push your foot into the crevice and then twist it to lock your toes or feet in place. All of these options are not options when you have a thick boot strapped to your foot and are climbing ice which often has less features to edge upon. Instead, you are required to kick into the ice, sinking the bladed toepoints of your crampons securely into the ice. This often maximizes the strain on your calf muscles as you climb upward.

Although I was slowly becoming familiar with many of these eccentricities, none of these aspects were deterrents, they were merely novel techniques that were exciting to learn. The real beast of leading ice is the nature of protecting the leader. Sport climbing involves clipping 32kn bolts that were previously driven into the rock with drills and/or glue which are often strong enough to hold the weight of an elephant. Similarly, trad climbing relies on passive metal protection which consist of industrial cable and aluminum or spring-loaded camming devices often stronger than the rock you are holding onto. I have fallen many times on these types of protection without issue and had also tried (and failed) to rip them out using several burly guys yanking on 4:1 haul systems attached to dynamometers. Rock protection can be incredibly strong and reliable and often only takes seconds to place.

Ice protection on the other hand depends on integrity of frozen water crystals and often takes a minute to place, making the entire process mildly terrifying at times. When you lead ice, you periodically must place ice screws in order to limit your fall potential. An ice screw is a threaded aluminum or steel screw with sharpened teeth on the end and is roughly the thickness of your finger, but with a hollow center. To place one, you must unclip it from your harness and stab it into the ice with a twisting motion until the screw bites into the ice. This is done while you are hanging from your opposite hand on a tool, and your two feet below you. Eventually, the screw will bite into the ice and you can use a twist crank handle to thread it into the ice fully. You can then clip a quickdraw to the screw and by this point, you have been hanging on one arm for a minute or two and your forearm is probably tight and burning with lactic acid. Before you can clip the rope to the screw, you often need to shift back onto your other tool and release your grip to shake blood back into your fingers as they were raised above your head for quite some time. You can try to clip the rope with your opposite hand, and then you may continue climbing upward. In good ice, with proper technique, the entire dance minimizes the strain on your hanging arm and culminates with a well-placed screw to catch you in case you fall.

As I gained physical and mental strength, I was able to lead many pitches of ice. As this was my first lead, I was very eager to “sew it up” putting my protection very close together to stay safe.

As I gained physical and mental strength, I was able to lead many pitches of ice. As this was my first lead, I was very eager to “sew it up” putting my protection very close together to stay safe.

Going All Out

But how strong is a well-placed screw? Well that all depends on the ice. Sometimes the ice is only a few inches thick, and you have to place a “stubby” which may not even go into the ice the length of your index finger. Other times, the ice forms giant cauliflower shaped bulges that are full of air bubbles and your ice screw won’t even bite in at all. Other times, heat has caused repetitive freeze/thaw cycles generating rotten ice that a screw may partially bite into but can easily be pulled out by hand. Many ice climbers carry quickdraws that contain shock absorption devices to reduce the force placed on the screw in the event of a fall. If they think that the ice is so delicate that it cannot handle much force, the shock absorber will be placed between the climber and the protection, and these are affectionately known as “screamers”. Could an ice screw hold a climber’s fall? Well…don’t fall.

Knowing all of this, my early approach to ice climbing was to place as many screws as possible while leading short pitches of ice. However, placing a screw is far more taxing than putting in rock protection and excessive placement can wreak havoc on your arms and legs to the point that you lack the strength to hang on. Ice screws become paradoxically an increased fall risk if you take too much time to place too many of them. It is beneficial to keep climbing through a steeper, more difficult terrain, and then place when you have a stable stance with less strain on your arms. However, it is difficult to convince yourself that this technique is a good idea when you look down several body lengths to see one lone screw between you and the ground as your forearms are burning and you desperately hang on. Placing early and often is ideal, but you have to save energy to finish the climb as well.

The other joyful discovery which I have only experienced a few times was the sensation of blood flowing into my fingers after a particularly difficult and cold lead. Since you are typically holding onto tools above your head, the blood pumping to your fingertips has a tendency of flowing down into your core. When it is freezing outside, the lack of bloodflow will slowly turn your fingers numb. They respond more slowly when you attempt to grip an ice tool or fumble with an ice screw. By the time you reach the top of your climb, they can often be frigid. This in and of itself is not so bad, until you lower your arms back down to your sides upon reaching the top. As the blood rushes back into your frozen fingertips, a rapidly increasing sense of sharp pain pulses into your throbbing fingers accompanied by a severe wave of nausea and an itchy sensation in your skin. Typically this lasts about a minute but is staggeringly painful tends to stop me dead in my tracks.  This lovely sensation has been affectionately dubbed “the screaming barfies”.

I had learned a great deal after top roping over fifty pitches of ice, I began to slowly get more and more easy leads under my belt (sorry Will Gadd). The nice thing about ice climbing was that I always had the world’s best hold: a handle. This made climbing ice easier than cranking on overhanging small holds with a still weak arm. Ice rarely gets beyond vertical steepness and this provided an excellent way to strengthen my arms gradually. Each time I would work on my stance to make sure I had staggered foot and tool placements, and wide stances when possible. I found the strength and energy to swing lead multiple stacked pitches of ice falls in 2019. By 2020, I was able to climb 4-6 pitches of ice, leading each pitch myself and at what used to be my limit WI4+. Ultimately, I love climbing long multipitch ice climbs finding myself entering a flow state of supreme focus on the task at hand which requires not only execution of complex motor patterns, but also a silencing of the mind which eliminates fear, self-doubt, and hesitation out of necessity for survival. I do not know where ice climbing will take me next, but the climbing itself is a journey that means more to me than the target destination.

Mean Green (WI4+)-South Fork of the Shoshone. Cody, WY

LEADING IN CODY, WY

I had learned a great deal after top roping over fifty pitches of ice, I began to slowly get more and more easy leads on WI2 and toproped or followed as many WI3 and WI4s as I could. The nice thing about ice climbing was that I always had the world’s best hold: a handle. This made climbing ice easier than cranking on overhanging small holds with a still weak arm. Ice rarely gets beyond vertical steepness and this provided an excellent way to strengthen my arms gradually. Each time I would work on my stance to make sure I had staggered foot and tool placements, and wide stances when possible. I found the strength and energy to swing lead multiple stacked pitches of ice falls in 2019. By 2020, I was able to climb 4-6 pitches of ice, leading each pitch myself and at what used to be my limit. Mean Green (WI4+) in Cody presented some of the best lead climbing I have done anywhere. Ultimately, I love long continuous tiers of climbing that takes me deeper into wilderness. The demands of navigating complex terrain safely and efficiently drives me into a flow state of supreme focus on the task at hand for long periods of time. On long climbs, I am required to execute complex motor patterns, while recognizing fear, self-doubt, and hesitation without allowing them to overcome my better judgment. Additionally, the objective hazard of rockfall, avalanche, hypothermia all need to be managed along with route finding and energy management. I find that these experiences demand my best performance.

LEADING IN NEW ENGLAND
When I relocated to the east coast, I had to adjust to new weather conditions for ice. Although the northeast united states can get very cold, there is far less snow, accumulation and sunshine for thaw/freeze cycles to build fat waterfalls the way they did in Utah and Colorado. However, the intense winds on Mt. Cannon and Mt. Washington in New Hampshire would form rime ice in early season. When fog and mist would get hit with high winds from the north atlantic, the droplets freeze on contact with the rock. This makes for early season mixed climbs that can be very engaging to say the least. The Black Dike (WI4+, M3) is far easier as a filled in ice climb in late spring than it is as a 75% rock climb with sparse protection. The blasting wind has a tendency of freezing ones eyelashes shut, making navigating for the leader very difficult. Another early season rime climb forms inside Central Gully in Huntington Ravine known as Cloudwalker (WI4, M3), a climb that is far less steep but can be quite spicy as the thin ice tends to mean sparse screw placement, but in thick conditions makes for a fun lead. Rime ice is distinct from the many steep lines that form regularly Dracula (WI4), The Beast (WI4+), or Chia Direct (WI4+). Finishing Pegasus Rock Finish (WI3+, M3) in the dark was interesting, but I think I preferred the direct version with a short pillar section for the second pitch. Hobbit Couloir (WI4+) is a delicate balancy line up a thin spout with nice stemming for support. Rumney, NH offered steeper narrower pillars like Prestor John (WI4) and John’s Pillar (WI4+). After five years of leading I was definitely eager to lead WI5, but there were still many different ice features to explore.

From winter of 2021 to 2026, I noticed the consistency of solid ice forming was extremely variable regionally. Southern New Hampshire could form ice, but brief bouts of rain could often destroy in an hour what had been building for months. Northern New Hampshire seemed more consistent, but certain lines were ephemeral and difficult to chase if you don’t live within sight of them. Many easily accessible climbs would be chopped to bits by eager droves of topropers during ice festivals or popular periods. After perusing guidebooks and hiking around a fair amount, I quickly built a wishlist of climbs that were rare to form due to climate change.

Leading “The Smear” (WI3-4), Frankenstein Amphitheater, Crawford Notch, NH.

Leading “The Tablets-Left”-WI3-4, Lake Willoughby, VT.

Third Chimpanzee (WI4+)-Chapel Pond Canyon

Lead Fall 1

Alternatively, the Adirondacks seemed to received snow more consistently during this period and freeze/thaw cycles had more of a base early in the season. Just outside of Keen, I opted to lead (among other things) a route called “Third Chimpanzee” (WI4+) in Chapel Pond Canyon. On the hike across the pond I felt the snow getting warmer, better for making snowballs, but not great for ice integrity. As I led the narrow pillar, I had to meander awkwardly to stay on solid ice that wasn’t a dribbling mess of erosion. I was moving slower than usual and by halfway, I could was losing steam from sustained effort of awkward movements. I conservatively placed to equalized stubby screws mid-lead as a sort of impromptu anchor in case the section above proved inadequate. A passerby snapped a few shots noting the difficulty of the climb. I was feeling a deep pump in my forearms and I placed a final screw before the topout. The ice felt notably rotten at the top and I could not get my tool to stick. With a last swing, the ice broke off and piece the size of an oven door hit me in the chest send me backwards. I fell so quickly that I did not realize what had happened until I felt the back of helmet smack the ice column as I dangled upside down still gripping one ice tool in my left hand. Thankfully, I had backed up several screws prior to this section and my attentive belayer caught me and safely lowered me to the ground. Shaken, but unharmed I looked up at the lone tool still stuck in the broken ice at the top of the route and pondered how I’d get back to retrieve my gear. After I had topped out and traversed an adjacent route, I rappelled and left earlier than I intended due to heavy rain at 2pm. Warm rain eroded a lot of ice routes that evening.

Lake Willoughby is a gem in the northeast with high quality long pitches of ice that forms somewhat consistently and in highly variable quality due to the effect of all the large lakes in the region. At the border of Canada and Vermont there is a combination of high snow accumulation and direct solar radiation directly. The Tablets Left (WI4), Center, and Right (WI4) (WI3) can vary from buried snow climbing, to steep ice with an aerated and rotten top layer that contains thick blue ice underneath if you are willing to dig. The topouts of many of the climbs there (Zephyr, WI3+, M1) also involved unprotected slab climbing to reach tree anchors. The massive cliff band offers a series of adjacent climbs that could keep an avid climber busy for many a season, but many of these are also rare to form and absent in early season conditions. Still, after enjoying the stacked pitches of Twenty Below Zero Gully (WI4), and the lower pitches of Glass Menagerie (WI4), I was eager to to climb Crazy Diamond (WI5-).

Leading “Gully 1-1/2” (WI4+), Mt. Willard, NH.

Nearing the final crux of Crazy Diamond (WI5) in Lake WIlloughby

Lead Fall 2

Much like my fortuitous day climbing Chapel Pond Canyon, I felt the day getting warmer when I decided to attempt it. As a three day weekend, the day prior had seen a ton of traffic on Crazy Diamond and it had been heavily whacked to bits. The long line of parties jumping in front of me ended up not allowing me to get moving until nearly 4pm. Right as I began to climb, there was a brief bit of rain that stopped after a few minutes, perhaps an omen. I brought a headlamp and attempted to lead without pitching out to move more quickly. I had to runout large stretches between screw placements in order to conserve enough ice screws for the full 70m of rope. While working steadily but getting exhausted. By the time I reached the last third I was climbing in the dark. Much of the central ice was chandeliered with incut feet which precluded solid placement and put a strain on my forearms. I placed a 20cm screw at the ledge beneath the final section. Below the 20cm screw was a solid 15m or so to my last screw. The ice above me had been hacked to pieces and there were bore holes everywhere from previous leaders. I was able to delicately stem back and forth in the dihedral of ice columns, but the ice was hollow behind the 2-3 cm that I was hooking and daintily standing on. Two body lengths above the last screw, I nervously looked for a placement but the ice was too crumbly. I settled for re-threading an existing hole with an aluminum ultralight screw. It sprialed in effortlessly, spitting out no snow, no ground ice, all indications that it probably didn’t bite anything. It was only another 4m before I would be on a ledge and able to set an anchor, but the ice looked terribly above me so I decided I would have to climb higher to find protection. Another body length and I could nearly see the top. At the moment, the ice beneath my feet broke away and I fell backward. There was a moment before the line went taught, and I found myself again clinging a single tool with the bulk of my weight hanging on the questionable ice screw. I carefully extricated my crampons away from the tensioned rope and down climbed to the rest ledge on my one tool. There I put in an anchor and caught me breath. The ice was too beat, I wasn’t about to attempt it again in the dark. I climbed on one tool through to retrieve my stuck pick from the ice and downclimbed to the hallelujah piece that held me and retrieved it. By this point, I was practiced with a naked V-thread and used it to lower safely to the ground. Unscathed, I learned another lesson in humility in the face of conditions. The fall was not to be taken lightly and could have been much worse. While my heart sunk at the missed opportunity, I would rather live to climb another day.